开启辅助访问
浅色 暗色
随便看看

 找回密码
 注册

QQ登录

只需一步,快速开始

扫一扫,访问移动社区

搜索
英语家园 门户 家长课堂 查看主题

经常被打骂的孩子,智商可能发生惊人变化!

发布者: x-kai | 发布时间: 2019-9-14 13:41| 查看数: 1030| 评论数: 0|帖子模式



作者 | 花朵之蓝  来源 | 凯叔讲故事(kaishujianggushi)

前不久,网上的一则新闻引起了热议:沈阳市铁西区滑翔五小区、六小区范围内,不到24小时共发生8次火情。



而犯罪嫌疑人竟是一名16岁的男孩姜某,他因平日里常遭到父亲的责备打骂,日积月累下心中充满了怨气。

父亲曾经说儿子「早晚得进监狱」,这句话让儿子非常介怀。为了报复父亲,他就策划故意犯罪,希望给父亲「惹点事」。

知道真相后,人们不禁倒吸一口凉气,所幸这8场火灾都没有重大的财产损失,否则,这个家庭将为「打骂教育」付出沉重的代价。



棒棍之下难出「孝子」

受到父母打骂而产生报复心理,类似的事件并不少:

之前,一名12岁的男孩因弄碎茶馆的物品,想让妈妈替他赔偿。

妈妈一上来就开始责骂,男孩心里不服,一气之下用双手死死掐住了妈妈的脖子,幸亏旁边的人及时拉开了男孩。

几年前,深圳龙岗的一名16岁的女孩常被父母打骂,手机搜索过安乐死,买过一把刀,离家出走过三次,最后服毒身亡了。

这些极端的心理扭曲背后都有一位对孩子打骂成性的父母。

某学校曾经做过一个调查,学生中挨打的占了80%。而某城市也曾经对408名少年犯进行调查,发现在打骂中成长的少年犯罪率非常高,达到了84%。

原以为打骂是让孩子长记性,改正自己的错误,但是又有多少家长想到,正是自己的棒棍把孩子打上了犯罪的道路。

别说棒棍之下出孝子了,恐怕连一个能遵守社会秩序的人都难以养成。



图片来源:《放牛班的春天》



打骂可能会降低孩子的智商

美国的惩戒与家庭暴力专家默里·施特劳斯做了一项跟踪调查,对美国806名2-4岁的儿童进行智力测试。

四年后又进行第二次测试,发现未遭遇过体罚的儿童平均智商要比经常挨打的儿童高5分。

施特劳斯说,「打得越多,孩子心智发展越慢,哪怕是打得很少也有影响。」

而施特劳斯对32个国家、超过1.7万名大学生的调查结果也显示:打孩子的家长比例越高,那个国家的国民平均智商就越低。

这并不是说被打骂的孩子会逐渐失去认知能力,只是,有可能会落后于同龄人。

正如施特劳斯的报告结论:

那些时常在暴力、威胁下成长的孩子会出现「拼或逃」的反应机制,这种好斗或逃避心理会冲击孩子的创造力与想象力,而创造力、想象力都会影响一个人的智商。

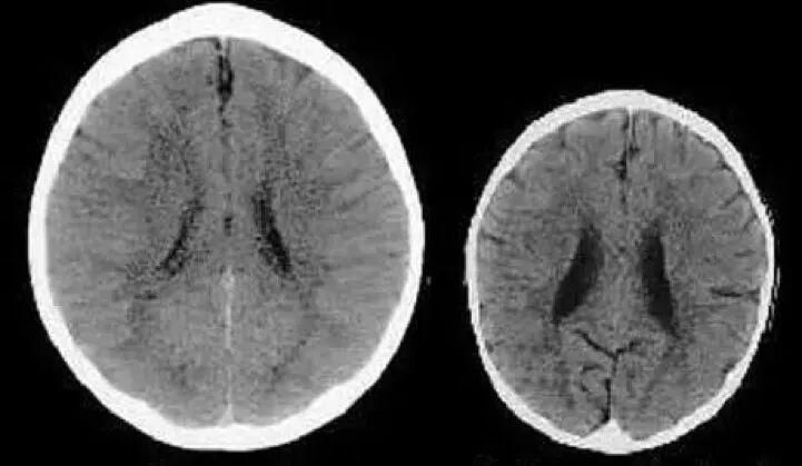
科学家曾经扫描过两个三岁孩子的大脑图形。

其中一个孩子的妈妈温柔善良,善于和孩子进行有效的沟通。而另一个孩子的妈妈非常冷漠,常常忽视孩子的需求,甚至虐待孩子。

两个孩子的大脑图形也是千差万别,如下图,左图是第一位孩子的(被温柔以待),右图是第二位孩子的(常被打骂)。



图片来源:Professer Bruce Perry

神经学家解释,右图的黑暗区域意味着大脑容量减少。缺失的区域使得孩子的成长过程中会缺乏智慧、同情心等能力。

由于长期遭受打骂,右边的孩子成年后有可能攻击性更强,自信心不足,事业拼搏力较差。

而左边的孩子,则明显相反。他包容、善良,长大后可能更容易成功。

纽约市蒙蒂菲奥里儿童医院儿童心理医生拉希勒·布里格斯曾经说过:

「你如果打孩子,就等于告诉他们这是一种处理问题的方法,但如果你使用其他管教方法,就能教授孩子更高级的认知技巧、自制力、因果以及逻辑思维能力。」




被打伤的心灵

邻居小美的童年就是在「你怎么那么笨,连算数都不会,怎么不去死?」「你这猪狗不如的东西……」的辱骂声中度过的,拳打脚踢更是家常便饭。

小美内向又自卑,甚至产生了社交障碍。长大后拼命逃离了父母,不敢结婚不敢生小孩,怕在暴力中长大的自己也会成为施暴者。

曾经看到这样一段话:

小时候,我厌恶成为母亲那样的人,唠叨,无休止的嘶吼,无法克制的脾气,长大后,在婚姻中,我却发现,我成为了母亲这样的人。

心理学研究发现,有些女孩从小在父母的家暴中长大,在择偶时竟然也会找一个有家暴倾向的丈夫。

这些女孩有很大的可能是患上了「斯德哥尔摩综合征」,对施暴者产生依赖。

所以她们脱离原生家庭后就会潜意识去寻找另一个施暴者。如果这种行为无法得到有效的遏制,这种模式可能会代代相传。

也许打骂式的教育会在一定的程度上起到作用,但也是暂时的。

它带来的是更大的负面影响,不仅仅影响孩子的身体健康,智力发展,也会扭曲心灵。



经常被打骂的孩子,可能会形成两种极端人格:

一种是性格特别懦弱自卑,容易产生悲观厌世的情绪;

另一种是特别叛逆且具有暴力倾向。

此外,还可能会造成严重的亲子隔阂,亲子关系在打骂中变得越来越淡漠,部分孩子还会产生报复心理。



聪明的父母不会打骂孩子每一位父母都会有被熊孩子逼疯的时候,打骂孩子是愤怒父母的惯用技能,因为他们想不出更好的办法来治理这些熊仔熊女。

但是聪明的父母懂得克制自己的情绪,会用更好的方法去教育孩子。

单纯的惩罚,尤其是体罚是非常负面和拙劣的教育方式。



图片来源:《放牛班的春天》

惩罚的方式多种多样,其目的不仅仅是让孩子知道自己错了,更为重要的是要让孩子知道自己错在哪里。

和孩子一起制定并执行「惩罚规则」,不仅能让孩子积极认识和改正错误,还能培养起良好的归因能力、自控力。

我家里有一个「面壁思过区」,上面放了一把淘气椅。

每当女儿犯错,我就会按照约定,把她抱到这里让她冷静几分钟。时间一到,我立即停下手头的工作去抱她,告诉她为什么要惩罚她。

这样的方式能让彼此都冷静下来,避免了更大的冲突,同时也让孩子意识到错误。

挑豆子也是我们常玩的一种惩罚游戏。

把家里的黄豆、绿豆、红豆等各种豆混杂在一起,然后让女儿把豆子分离出来,挑不完就不许看喜欢的动画。

不仅起到了惩罚的作用,还训练了孩子的视力和手指的灵活性,同时又培养了耐性。

「罚吃讨厌的蔬菜」也是不错的方法,在起到惩戒作用的同时,也可以给孩子补充平时缺失的营养。



图片来源:《小花的味噌汤》

朋友家的「后果法则」也非常值得借鉴。

她家的孩子喜欢懒床,每天都得费好大劲才能把孩子从床上拖起来。后来她干脆陪着孩子一起懒床。

晚起的孩子上学迟到会受到老师的批评,还要在全体小朋友的注视下回到座位上,会被守规矩的小朋友笑话。几天后,脸皮薄的孩子终于能乖乖起床了。

心理学家赫尔巴特说:孩子需要爱,特别是当孩子不值得爱的时候。

当孩子犯错时,教育方式恰好体现了父母爱的深度以及爱的智慧。

别让自己的嘴巴成为一把刺向孩子的锋利的刀,别让自己的拳头落在孩子的身上,别亲手把孩子藏在心底的恶魔放出来。

真正的好教育,是从心开始的,是心与心彼此的交流,而绝不是靠武力、暴力的训斥。

*作者:花朵之蓝,自由撰稿人,儿童心理学爱好者,一位认真写字、努力生活的中年少女,只愿字字铿锵有力,句句掷地有声。 来源:“凯叔讲故事”(ID: kaishujianggushi),1400万孩子听故事大全 ,爸妈的育儿宝典,转载已获授权。

发新帖

最新评论

关闭

站长推荐上一条 /1 下一条


关于我们|免责声明|广告合作|手机版|英语家园 ( 鄂ICP备2021006767号-1|鄂公网安备42010202000179号 )

GMT+8, 2026-4-29 00:39

Powered by Discuz! X3.5

© 2001-2026 Discuz! Team.

快速回复 返回顶部 返回列表