英语家园

 找回密码
 注册

QQ登录

只需一步,快速开始

扫一扫,访问移动社区

搜索

儿童玩水后感染“食脑虫”昏迷不醒,重要提醒→

发布者: 风中麦田 | 发布时间: 2025-7-11 10:55| 查看数: 63| 评论数: 0|

最近,一位家长在社交平台的求助信息引起关注。

这位家长带着5岁女儿游泳和泡温泉,几天之后,孩子出现头痛、低热、呕吐,紧急送入医院后出现抽搐,随后昏迷不醒,转入重症监护室治疗。经过医生深入检查,发现孩子感染了福氏耐格里阿米巴病原,俗称“食脑虫”病。

什么是“食脑虫”?为何如此凶险?怎样预防感染?



其实,“食脑虫”并不是真的虫子,而是一类分布于自然界中的单细胞生物阿米巴原虫。

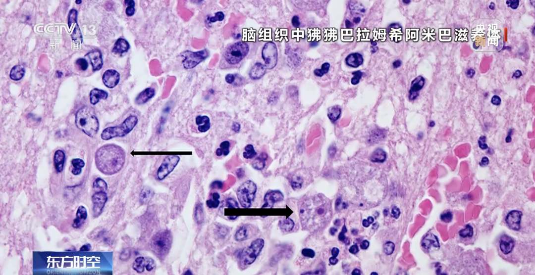
首都医科大学附属北京友谊医院、北京热带医学研究所主任医师王磊介绍,目前,称之为“食脑虫”的阿米巴原虫有三种:福氏耐格里属阿米巴、狒狒巴拉姆希阿米巴、双核匀变虫



王磊表示,这三种阿米巴原虫对人体造成损害主要有两方面:

  • 造成皮肤性损害。阿米巴原虫通过破溃的皮肤进入人体以后,在破溃的局部形成肉芽肿性改变。
  • 侵入中枢神经系统,导致患者出现间断或者持续性的抽搐、昏睡昏迷,以颅内高压为表现的恶心、呕吐、头疼,大约在1—2周以后就会造成不可逆转的神经系统病变。

,时长02:22

2022年,浙江大学医学院附属儿童医院感染科曾收治了一例阿米巴原虫感染患儿,经过两个月左右的治疗,患儿才脱离生命危险。

浙江大学医学院附属儿童医院感染科主任黄丽素曾参与这次救治,她坦言,目前幼儿感染阿米巴原虫在治疗药物和方案上还缺乏成熟手段,只能根据患者情况,通过多种药物联合作用、控制颅内压、手术等综合手段积极挽救患儿生命



复旦大学附属华山医院感染科副主任王新宇介绍,在我国,“食脑虫”感染属于罕见事件,发生概率较低,感染者中多见幼儿、青少年群体。“食脑虫”主要通过鼻黏膜、皮肤破损处等进入人体,常见于温暖的淡水,如湖泊、池塘、河流、温泉、未氯化的游泳池、污水和土壤中



△福氏耐格里属阿米巴的感染致病示意图

那么,如何才能避免“食脑虫”感染?专家建议从以下几个方面入手:

■ 远离不干净的水

  • 不要在卫生状况不佳的野外水体里游泳,尤其要避免潜水、跳水,以免增加鼻腔进水风险。
  • 如果自身皮肤有破溃情况,尽量不要进入自然水体。
  • 避免用未经消毒或煮沸的自来水冲洗鼻腔‌。

■ 做好卫生防护

  • 必须进入自然水体进行作业的情况下,要使用鼻夹,同时避免搅动水体底层沉积的物质,减少阿米巴原虫进入人体概率。
  • 接触土壤后及时进行清洁,确保皮肤无伤口暴露。
  • 佩戴隐形眼镜时做好消毒,避免接触污染水源。
  • 游泳场所做好消毒工作,确保卫生条件达标。

,时长01:39

王新宇强调,鼻腔被温暖的淡水猛冲,是最典型的感染途径。如果在“温暖淡水呛鼻”后一两周内,出现高烧、剧烈头痛、恶心呕吐、颈脖僵硬,甚至很快意识模糊,务必立刻就医,并主动告诉医生“最近在哪个水域把水呛进鼻子了”,以便检测确认病因。

本文来源:央视新闻微信公众号(ID:cctvnewscenter)综合国家应急广播、中央广电总台中国之声

最新评论

关闭

站长推荐上一条 /1 下一条

快速回复 返回顶部 返回列表