人是从什么时候开始变油腻的?
心理上的不好说,但身体上的确实有点规律:30~35 岁左右。
岁月就像个打气筒,把时间变成了肥肉。青春记忆里的校花校草、初恋对象,过了 30 再见面,大家都成了圆润松垮的中年模样。
特别是肚子。从翩翩少年到油腻中年,肚子功不可没。

对不住了小李子
图片来源:网络
被生活反复摩擦过的中年人,多少都掌握了一些精神胜利法。毕竟世上无难事,只要肯 逃避 和解。
大不了拍拍肚子,安慰自己一句:宰相肚里能撑船。

但生活的残酷莫过于,好不容易和解之后,它还会再背刺一刀。
近几年,越来越多的科学研究发现,大肚子的宰相能撑多大的船不知道,但很可能脑子不太好。
肚子越大,脑子越小
腹肌是八块还是一块,不仅决定了是性张力还是性缩力,也切实影响着一个人的身体状态。

帅气的雷神

油腻的索尔
之前的研究主要聚焦于血脂、血压、癌症等代谢或重疾领域,毕竟没有人会想到,肚子会和半个身子之外的脑子有什么关系。
而现在,科学家们清晰地看到了区别。
同样年龄的人,腹部脂肪(皮下和内脏)更多,脑部图像显示出更小的脑容量。

左侧红色受试者,四肢和腹部有更多的脂肪(亮色区域),大脑更多黑色空间。
图片来源:参考文献 [1]
来自美国华盛顿大学等 10 个科研机构,纳入了 10,001 名参与者,经过全身核磁、计算机深度学习、回归分析等一通复杂操作后,谨慎得出了结论:
内脏脂肪越多,大脑(灰质、白质等)越小。

不论你胖不胖,肚子大都会对脑子产生影响,越胖的人影响越大。
图片来源:参考文献[3]
大肚子对小脑子的影响,很难说不是脂肪细胞发起的「阴谋」。
例如聚集了大量神经元的灰质,它掌控着我们的行为控制、奖赏机制、运动控制。一些特定区域的萎缩,很可能决定了我们的食欲和饱腹感。
当一个中年人摸着肚子,忍不住想点个烤串夜宵,或想偷懒不运动的瞬间,或许就是一场脂肪对脑灰质的微小胜利。
肚子越大,认知越差
脑子,可以说是人体中最会自我激励的员工了。
从出生开始,我们的大脑一直在不断成长、优化,例如前额叶皮层,可能要在 30 岁以后才会逐渐进入稳定状态,甚至到了 99 岁,大脑还在持续自我更新。
而中年逐渐大起来的肚子,给刚成熟的聪明大脑来了个「变笨」魔咒。(就好比初入职场,被糟心同事甩了个飞来横锅)
柳叶刀子刊发表了一项中年人研究,调查了 8769 位参与者后发现,内脏脂肪和 BMI 升高,两者均与认知能力下降之间存在因果关系。
内脏脂肪每增加 0.27 kg,相当于认知衰老 0.7 年。

图片来源:参考文献[3]
变笨魔咒的终点是什么?
多少和阿尔兹海默症有点关联。
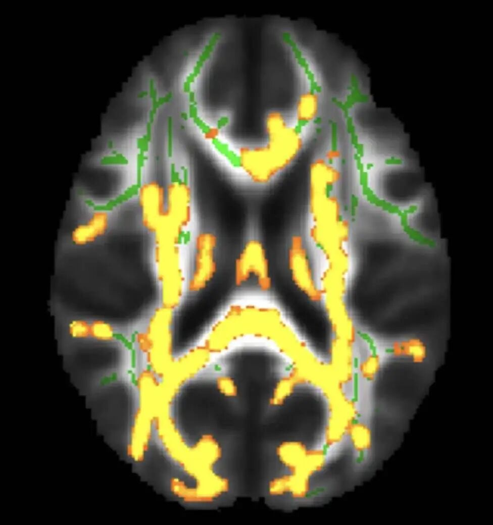
有研究发现,认知正常的中年人中,内脏脂肪更高的人,大脑区域(右侧楔前叶皮质)中的淀粉样蛋白更多。而后者,正是阿尔兹海默症的早期信号之一。

脑部扫描显示隐藏的内脏脂肪水平较高,神经炎症(黄色)增加
看起来人畜无害的脂肪,为什么会有如此威力?
它扮猪吃老虎真的很有一套。
脂肪从来都不是一个简单的脂肪存储仓库,它是有组织、有纪律的庞大组织。会通过分泌激素和其他活性因子,帮助调节人体的能量平衡、饥饿和饱腹感,甚至是新陈代谢和炎症反应。
脂肪有好有坏,内脏脂肪就是反派的代表。
它会通过促进胰岛素抵抗、升高炎症等方式,在身体各个地方到处惹事儿,从聪明的大脑,到勤劳的心脏,全都嚯嚯个遍。
即使体重正常的人,腰围过大也会使过早死亡的风险增加近一倍。
胖的是肚子,伤的是全身。
中年人肚子里藏着的,不仅是职场的心酸、家庭的压力,还有一群健康搅屎棍。
减肚子
高质量中年人的逆天改命
小时候总以为「长大」的秘诀在于头发梳成大人模样。
进入中年才知道,大人可能没头发,真正的秘诀是肚子。只要肚子圆润,就能立刻拥有中年人的 油腻 成熟滤镜,「班味儿」自动上身。

图片来源:网络
如果中年发福是命中注定,一部分讲究「我命由我不由天」的当代新中年们(其实就是 80、90 后 ),已经开始行动起来了。
在运动中挥汗如雨,是中年最好的去油方式;
拥有几块腹肌,是高质量中年人的标志。

本年度励志标杆:六十多岁仍然胸肌发达,腰身笔挺的纣王(费翔)。肌肉是中年人最好的衣服,网友诚不欺我。
图片来源:电影《封神》
从健康角度,对肚子的要求真不高:男性 90 厘米,女性 85 厘米,就是腰围及格线了。
瘦肚子效果是喜人的:变小的脑子还有机会大回来。
聪明的智商再次占领高地,健康状态得到全方位提升,各种慢性病、癌症、死亡风险也会降低。
减掉大肚子,甩掉的不仅是身体上的臃肿油腻,还有中年生活的疲惫无力。
进入中年,人生在大环境中起起伏伏几经波折,背负的东西越来愈多,逐渐卡在一个不上不下的位置提不起劲儿来。
而身体,或许是唯一能完全由自己把控的「战场」。
好消息是:科学家发现,20~50 岁新陈代谢的能量消耗是稳定的。身体里还是曾经那个年轻的自己。
动起来吧朋友们。
每一滴汗水都不会被辜负,释放的多巴胺让人感受快乐。
当累赘的肥肉一点点消失,当掏空的身体重新拥有力量,中年人为未来积累了可贵的「身体资本」,也仿佛找回了曾经活力飞扬的青春。
本文审核专家

参考文献
[1]Raji C A, Meysami S, Hashemi S, et al. Visceral and Subcutaneous Abdominal Fat Predict Brain Volume Loss at Midlife in 10,001 Individuals[J]. Aging and Disease, 2023.
[2]Mark,Hamer,G,et al.Association of body mass index and waist-to-hip ratio with brain structure: UK Biobank study.[J].Neurology, 2019.DOI:10.1212/WNL.0000000000006879.
[3]Mina T, Yew YW, Ng HK, Sadhu N, Wansaicheong G, Dalan R, Low DYW, Lam BCC, Riboli E, Lee ES, Ngeow J, Elliott P, Griva K, Loh M, Lee J, Chambers J. Adiposity impacts cognitive function in Asian populations: an epidemiological and Mendelian Randomization study. Lancet Reg Health West Pac. 2023 Feb 14;33:100710. doi: 10.1016/j.lanwpc.2023.100710. PMID: 36851942; PMCID: PMC9957736.
[4]Dolatshahi M, Commean PK, Rahmani F, Liu J, Lloyd L, Nguyen C, Hantler N, Ly M, Yu G, Ippolito JE, Sirlin C, Morris JC, Benzinger TLS, Raji CA. Alzheimer Disease Pathology and Neurodegeneration in Midlife Obesity: A Pilot Study. Aging Dis. 2023 Aug 3. doi: 10.14336/AD.2023.0707. Epub ahead of print. PMID: 37548931.
[5] Adipose Tissue (Body Fat): Anatomy & Function
[6]Taking Aim at Belly Fat - Harvard Health Publishing - Harvard Health
[7]N Engl J Med 2008;
359:2105-2120 DOI: 10.1056/NEJMoa0801891
[8]Bohon, C., Garcia, L.C. & Morton, J.M. Changes in Cerebral Cortical Thickness Related to Weight Loss Following Bariatric Surgery. OBES SURG 28, 2578–2582 (2018). [url]https://doi.org/10.1007/s11695-018-3317-6
[9]Ryan DH, Yockey SR. Weight Loss and Improvement in Comorbidity: Differences at 5%, 10%, 15%, and Over. Curr Obes Rep. 2017 Jun;6(2):187-194. doi: 10.1007/s13679-017-0262-y. PMID: 28455679; PMCID: PMC5497590.
策划制作
作者:栗子阿孙 | 策划:feidi | 监制:王姐
封面图来源:图虫创意
本文来自公众微信号:丁香医生
|
|