近日,杨某、张某表兄弟俩饮用了几两朋友自制的杨桃泡白酒后,次日就出现恶心、呕吐、腹痛、腰痛症状被送进了医院,肌酐数值飙升至正常的十倍,原来已是高草酸尿症引致急性肾衰竭,两人双双住院治疗。

医生认为肾功能不好者不宜多吃杨桃杨桃泡酒更是容易导致草酸盐大量析出融入酒中通过酒精进入人体血液带来一系列问题
酒席上分享自制杨桃酒
放倒数人
杨某、张某表兄弟两人同为31岁,来自广东普宁。2019年11月29日夜间,他们和朋友聚餐饮酒。杨先生说,席间大家聊得正开心,朋友突然拿出一瓶杨桃泡的白酒,说已经泡了两三年,很好喝,好东西要拿出来分享一下。于是大家就开始喝这个甜甜的杨桃酒。
“刚开始觉得挺好的”,于是大家越喝越开心,每个人都差不多喝了六七八两。张先生也说,自己是第一次喝这种自制的果酒,尝起来甜甜的没什么不妥,很好入口,所以大家都喝了不少。
不过到了第二天,就开始不舒服了。四个人中有三个都不舒服。一开始还以为就是酒后劲太厉害。谁知道两三天症状都没有缓解,肚子胀胀的。后来两兄弟就到当地医院就诊,就发现肌酐异常飙升,同时被收治入院。
12月3日,在当地医院复查的结果提示,两人肾衰病情进一步加重,连夜转至南方医科大学中西医结合医院就医。
血肌酐异常飙升十倍
住院近半月
南方医科大学中西医结合医院肾病科主任聂晓莉介绍说,这两位患者入院时候到检查指标,血肌酐一个飙升到932umol/L,一个是1011 umol/L。正常健康人的这个指标应该在44~133之间,他们的数值已经超标十倍以上。两个人都有少尿、下肢水肿、肾脏肿大的症状。
“我们追问两位患者之前的喝酒情况,得知共同饮酒的四人中,另一名酒友也出现了肾衰竭。患者发病前有明确饮用杨桃浸泡白酒的情况,综合考虑为吃入大量杨桃导致的高草酸血症,从而导致急性肾衰竭。鉴于患者病情较重,给与急行血液透析治疗,其他给与利尿护肾、抗感染、抗炎等治疗。”
两位患者的肾穿刺病理活检结果都提示——符合急性肾小管损伤。在住院将近半个月后,两人才陆续出院。“没想到喝了这个杨桃酒后果这么严重,以前都不知道杨桃有肾毒性啊。以后再也不敢喝了。”出院前,张先生说。

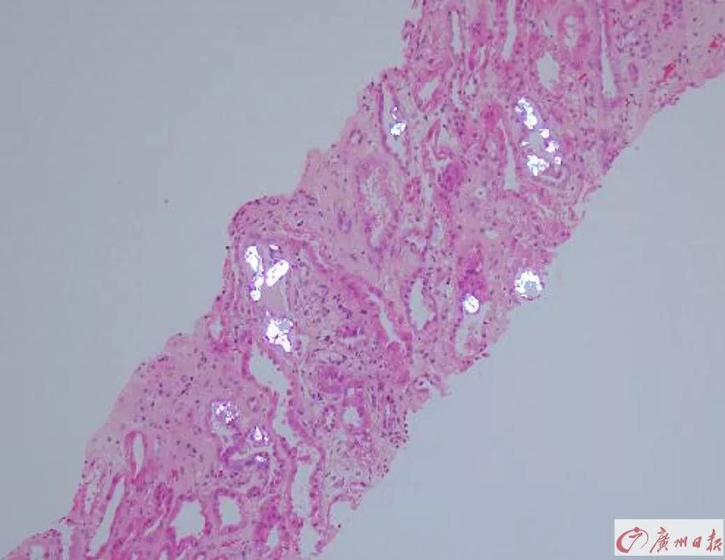
肾小管造影显示存在大量结晶沉淀物。(银白色部分)
为什么喝几两杨桃酒
会导致肾衰竭?
为什么喝几两杨桃酒会导致肾衰竭?聂晓莉分析说,杨桃富含有害物质草酸,大量摄入杨桃后容易导致高草酸血症,过多的草酸容易在肾小管内沉积,从而导致急性肾小管损害出现急性肾功能衰竭。
“这兄弟俩喝的杨桃酒泡了两三年,草酸盐更容易析出,溶解在酒中,喝下去后进入血液沉积在肾脏,形成结晶,阻塞了肾小管,使肾脏细胞发生炎症反应。”聂晓莉说。
几类人不宜吃杨桃
医生提醒,广东盛产杨桃,很多人喜欢吃,自泡杨桃酒的也不少。
但是,对于有慢性肾病、肾功能不全、肾功能衰竭的人群,有过血液透析史的病人以及腹膜透析的患者,都建议不要食用杨桃或者杨桃汁、杨桃罐头、杨桃酒等加工副产品。婴幼儿、对杨桃过敏者、高血压和糖尿病患者同样不易食用。
一般情况下,健康人群食用杨桃很少发生中毒情况,不会出现不良反应,但也要避免大量进食和空腹食用杨桃。
来源:广州日报(ID:guangzhoudaily),记者:周洁莹,通讯员:朱钦文
|
|