开启辅助访问
浅色 暗色
随便看看

 找回密码
 注册

QQ登录

只需一步,快速开始

扫一扫,访问移动社区

搜索
英语家园 门户 健康养生 查看主题

阿甘正传原型,患癌后用143天得到全国人民拥戴

发布者: david | 发布时间: 2019-6-1 10:32| 查看数: 1109| 评论数: 0|帖子模式



作者:七君

来源:把科学带回家(ID:steamforkids

《阿甘正传》是大家耳熟能详的经典电影了。



可是很少有人知道,阿甘原型的人生,要比阿甘本人传奇数百倍。



1958年7月28日,一个叫做 Terry Fox 的普通男孩出生于加拿大的温尼伯。



青少年时期,他就非常喜欢运动。但是命运却偏偏要捉弄这个爱跑爱跳的阳光男孩。



18岁的时候,在加拿大西蒙弗雷泽大学(Simon Fraser University)的第一年末,他突然感到膝盖疼痛异常,一天早上他甚至疼得都不能站起来。

医生非常直白地告诉他,他得了骨肉瘤(osteogenic sarcoma),他的右腿在4天后要被截掉。



还记得纪录片《人间世》第二季第一集里的那些令见者流泪的孩子们吗,他们中的不少人患的就是骨肉瘤。



骨肉瘤是在儿童和青少年中最常见的骨肿瘤。美国15岁以下的儿童里,每一百万人中就有5.6人会患上这种病。

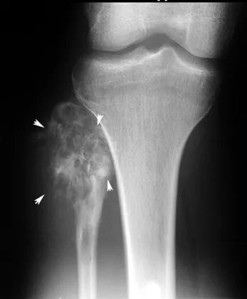
在X光片中,骨肉瘤有阳光四射一样的形态(sunburst)。梅奥医学中心的肿瘤血液学家 Carola Arndt 介绍,骨肉瘤是最恶性的骨癌之一。



骨肉瘤有阳光四射一样的形态

图片来源:芝加哥大学医学院

和身体其他部位的骨头相比,骨肉瘤喜欢长在长骨的生长板(或称骺板)上面。患者的肢端常常感觉疼痛,夜晚更痛,并且会长出一个鼓包。



骨肉瘤的传统治疗方法包括,先进行10周左右的诱导化疗(induction chemotherapy),然后进行手术,摘除肿瘤,最后再进行重建。手术后的2周,患者通常还要再进行一次化疗。



这套治疗方案通常被业内人士称为三明治式手术(surgery sandwich),术后5年生存率约为65%。

手术的痛苦可想而知。在纪录片《人间世》第二季中,许多观众看着患了骨瘤孩子们的惨状止不住地掉泪。



因为这个恶疾,1977年,Terry 右腿膝盖以上15厘米处的骨头被切掉了。



尼采曾说,杀不死我们的会让我们更强。

当同龄人正在大学校园里接受教育,开开心心地享受最美好的头20年人生的时候,在医院里做复健的 Terry 每天面对的,却是和他一样因为肿瘤而变得残缺不全的童真。一些孩子因为疼痛而撕心裂肺地呼号,一些孩子则被医生告知自己只有15%的生存几率。



医生告诉他,手术后他的存活几率是50-70%,而这存活几率还是依靠这2年里的科学进步才换来的。如果他早2年生骨肉瘤,他的存活几率就只有15%。这件事,以及儿童病房的经历给了他很大的触动。

手术后,Terry 并不想回到校园,也不想在家好好修养。见识了地狱后,他决定要横跨整个加拿大,为癌症研究筹款,帮助现在的,以及未来的癌症受害者们,让癌症研究早日跨入下一个2年。



“伤痛必须停止…我决心为了这个目标而挑战自己的极限。”在一封请求赞助的信函中他这样写道。



现在,他的身体就像差了一块的拼图。虽然他的左腿很强壮,但是他的右腿是用玻璃钢制的,而且当时的义肢只能用来走路,还没有先进到允许佩戴者奔跑的程度,所以断肢处常常会因为跑步而流血。



但是就凭借着这样的残躯,Terry 在1980年4月12日开启了他的奥德赛之旅。他把自己的堂吉柯德式的行为叫做希望的马拉松( the Marathon of Hope)。



每天凌晨4点,Terry 就起床了,然后每天他要跑42千米,相当于一个马拉松全程。



就像电影阿甘正传描述的那样,一开始残疾人 Terry 并没有得到重视。但是很快他的勇气就得到了全加拿大的瞩目。




旅程开始的2个月后,他来到了安大略省,并被邀请为一场加拿大加式足球联盟球赛开球。



甚至有人和他并肩奔跑。这一幕在阿甘正传里得到了还原。




民众为他的义举感动不已,有人专程在路上等着给他的慈善事业捐款。




在多伦多,蜂拥而至的人群像欢迎巨星那样等待着 Terry。



在143天的旅程中,他只休息了4天。有一次是为了和他一样患上了癌症的10岁男孩Greg Scott。为了安慰这个男孩,他和 Greg 一起在湖里游泳。



但是,在1980年9月1日那天,Terry 的生命之线在摩伊赖三女神的纺锤上缠到了尽头。



那天早上,Terry 还在四周人们的“别放弃,你做得到!”的呼喊中信心满满地出发。



但是跑了29千米以后,在靠近安大略省的桑德贝的地方,他开始剧烈地咳嗽,胸口撕扯般地疼痛。



到这一天为止,他已经跑了143天,总共跑了5373千米,跑过了风霜、冻雨和酷暑,跑过了加拿大的渔村和6个省。因为一路向西,他还要顶住迎面而来的狂风。



好不甘心啊,Terry 以为自己的癌症已经被治好了。



他的前方是聚集起来为他喝彩的人群,后方是为他护航的安大略省警察局。本来不想让别人叫自己“英雄”的 Terry 突然感到自己不得不在意别人的眼光。



为了不让别人看到自己被打倒的模样,他坚持跑到了这块后来被立起了白色里程碑的没人看得到的地方,让全程陪伴自己的童年挚友 Doug Alward 送他去医院。



医院诊断,癌症早已转移到了 Terry 的肺部,肺部是骨肉瘤最常发生转移的部位。



Terry 的兄弟 Darrell Fox 后来回忆,当时 Terry 的左右肺叶里分别长出了肿瘤,一个有柠檬这么大,另一个有高尔夫球那么大。很难想象 Terry 是怎样背着这两个炸弹每天跑下42千米的。



阿甘正传里,阿甘最终活了下来,他的女友反而得了不治之症去世。可是在现实中,Terry 在22岁的那年夏天(1981年6月28日)走了。加拿大全国降半旗致哀。



Terry 在世时,其募集的癌症研究捐款数额达到2340万美金之巨,相当于每个加拿大人都捐了1美元。吉尼斯纪录称其为世界上最会筹款的人。英属哥伦比亚的一座山峰也以他命名。



Terry 本人也在生命的末尾被授予了加拿大平民的最高荣誉——加拿大勋章(Companion of the Order of Canada)。



到目前为止,因为Terry 的壮举,以 Terry Fox 命名的基金会成立,并筹得了7.5亿美金的善款,用于支持癌症研究。



渥太华的 Terry 的雕像

Terry 的兄弟 Fred 曾经在医院里问 Terry :“为什么得病的是你?”

“为什么不是我呢?我这一辈子,别人一直在告诉我,我不是最高的、不是最强的、不是最快的、不是最聪明的。这只是我要克服的又一个挑战而已。”

Terry 曾这样回答。



发新帖

最新评论

关闭

站长推荐上一条 /1 下一条


关于我们|免责声明|广告合作|手机版|英语家园 ( 鄂ICP备2021006767号-1|鄂公网安备42010202000179号 )

GMT+8, 2026-4-30 00:01

Powered by Discuz! X3.5

© 2001-2026 Discuz! Team.

快速回复 返回顶部 返回列表